Maxillofacial Services

All Your Maxillofacial Needs at One Place

Facial trauma treatment in Hyderabad for accident and injury cases
Facial trauma service icon representing emergency maxillofacial care
Facial Trauma

Face is one of the most commonly injured parts in road traffic accidents, falls, or any kind of physical resistance with others directly. This may cause skin injuries, fractured teeth, fractured facial bones like lower jaw, upper jaw, nasal bone, eye injuries etc

Facial cosmetic surgery in Hyderabad for aesthetic and structural improvement
Facial cosmetic procedure icon for aesthetic surgery treatments
Facial Cosmetic Surgeries

Poor facial cosmoses can result from birth defect, congenital anomalies, development anomalies, post trauma defects due to wrong management of facial injuries etc. This speciality knowing how the facial dynamics work can plan and execute customized treatment

Orthognathic jaw surgery in Hyderabad for correcting jaw alignment
Jaw correction surgery icon for bite and alignment treatment
Orthognathic Surgery

Orthonathic surgery is a cosmetic surgery which will correct the deformed facial bones like forwardly placed upper jaw/teeth, lower jaw deformities, chin deformities and nose deformities. This speciality surgically corrects many birth defects of the face.

Distraction osteogenesis procedure in Hyderabad for bone lengthening
Bone reconstruction icon for maxillofacial surgical procedures
Distraction Osteogenesis

Distraction Osteogenesis is an established scientific method of elongating or increasing bone length or producing new bone without using any bone grafts, for correcting various facial deformities.

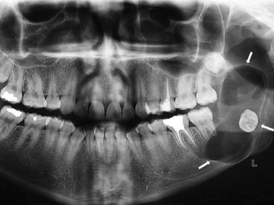
Oral cancer and jaw tumor treatment in Hyderabad with advanced care
Oral cancer treatment icon for jaw cyst and tumor care
Cyst And Tumors Of Jaws And Oral Cancer

A Painless continuously enlarging swelling on any part of the face should not be taken lightly as it can be a tumour or a cyst. If ignored it will grow to the extent where the entire lower jaw, upper jaw or sometimes even eye needs to be removed.

Rhinoplasty nose surgery in Hyderabad for functional and cosmetic improvement
Nose surgery icon representing rhinoplasty procedures
Nose Surgery / Rhinoplasty

The surgery of the nose involves changes to all or some parts of the nose and reshaping. People who are unhappy with the shape of the nose or those having difficulty in breathing can be immensely benefited.

Scar revision and mole removal treatment in Hyderabad for skin correction
Scar removal icon for cosmetic skin procedures
Scars & Moles

Scars on the body are formed due to an act of cut, injury or surgery. A scar removal leads to formation or scar again, by surgery scars can be reduced or disfigurement is minimised.

Salivary gland disease treatment in Hyderabad for oral health issues
Salivary gland treatment icon for oral gland disorders
Salivary Glands Diseases

They can get affected with various diseases like infections, stone formation in the duct/gland proper, tumours, cancers which might require surgery like excision of stones, partial/complete removal of the gland respectively.

Cleft lip and palate surgery in Hyderabad for children and adults
Cleft lip surgery icon for facial correction procedures
Primary & Secondary Cleft Lip, Palate

The cleft lip deformity is the most common birth defect affecting one in every 700 children born. The psychological trauma it has on the parents and on the growing child is immense.

TMJ surgery in Hyderabad for jaw joint pain and dysfunction treatment
Temporomandibular joint treatment icon for jaw pain relief
Temporomandibular Joint Surgery

Temporomandibular joint diseases leads to continuous pain, clicking sound, inability to take food which can be treated by procedure called arthrocentesis. TMJ ankylosis is particular disease leads to limited mouth opening, facial disfigurement, and malnutrition.

Reconstructive facial surgery in Hyderabad for restoring structure and function
Reconstructive surgery icon for facial restoration procedures
Reconstructive Surgery

Bone loss can be a surgical defect due to tumour , cancer surgery or trauma. Reconstruction is done with the bone harvested from other bones of the body, could be either free bone transfer or micro vascular surgery and rehabilitation done with implants for teeth.